main
-
أزياء وموضة
الموديل “ميرا” تتلقى عرض استثنائي من شركة “Tiktok”
نظرًا لمهارتها وأفكارها الإستثنائية، تحتل الموديل “ميرا” المراتب الأولى على تطبيق “Tiktok”، بعد خوضها عددًا من التحديات الرائجة عليه، محققةً…
أكمل القراءة » -
أخبار خاصة
Gaelle Moujabber: Top Tips For Healthy Eating During Ramadan
Following healthy eating habits during Ramadan is essential for everyone. Dietitian,Gaelle Moujabber, shares with us a number of practical healthy…
أكمل القراءة » -
أزياء وموضة
الموديل حياة نور الدين تحظى بشعبية كبيرة في العالم الرقمي
استطاعت الموديل حياة نور الدين ان تبني قاعدة جماهرية واسعة على منصات التواصل الإجتماعي في فترة زمنية وجيزة، ولا سيما…
أكمل القراءة » -
أخبار خاصة
محمد ناصر الشامسي يحقق شهرة واسعة في مختلف أنحاء العالم
يعد محمد ناصر الشامسي المعروف ب ميتو ،واحداً من أشهر الشبان السعوديين الناشطين على مواقع التّواصل الإجتماعيّ. حيث بدأ مسيرته…
أكمل القراءة » -
أخبار خاصة
بعد اطلاقه “CIEN x CIEN” بشكل رسمي.. الفنان “روينسيتو Ruensito” يتصدر المراتب الأولى عالميًا
إحتل الفنان المكسيكي “روينسيتو Ruensito” المرتبة الأولى عالميًا في قائمة تشغيل “لاتينو Latino” على تطبيق الأغاني الأشهر “أنغامي Anghami”، وذلك…
أكمل القراءة » -
أخبار خاصة
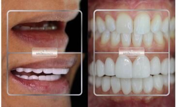
الدكتور Habib Zarifeh يشرح عن احدث التقنيات المستخدمة في معالجة الأسنان
مثل كل التخصصات العلمية الأخرى، نال طب الأسنان نصيبه من التطور الرقمي المشهود مؤخرًا.وكانت تقنيات تلبيس وتركيب الأسنان هي الأسرع…
أكمل القراءة » -
أخبار خاصة
سيدة الأعمال أية حداد تتألق في جلسة تصوير جديدة
أبهرت سيدة الأعمال أية حداد متابعيها بأحدث صورة نشرتها في صفحتها الخاصة على موقع التواصل الإجتماعي انستغرام، إذ بدت فيها…
أكمل القراءة » -
أخبار خاصة
الإعلامية ميرنا أوزعر إسم لامع في الوسط الفني
خضعت الإعلامية اللبنانية ميرنا أوزعر مؤخرًا لجلسة تصوير جديدة مع أهم مصوري الوسط الفني، كشفت عنها عبر حسابها الرسمي على…
أكمل القراءة » -
أخبار خاصة
مطعم فينسيا- برلين “Restaurant Phoenicia” لصاحبه رجل الأعمال كفاح علاّم يعيد فتح أبوابه من جديد
بعد رفع حظر التجول في برلين الألمانية، أعلنت مجموعة مطاعم فينسيا (Restaurant Phoenicia) لصاحبها رجل الأعمال المغترب كفاح علاّم عن…
أكمل القراءة » -
أخبار الفن
النجم حسين فنيش و نجمة ذا فويس بتول البني في اطلالة خاصة، كليب”راجع”
انتهى الممثل اللبناني حسين فنيش من تصوير اخر اعماله والذي كان مع نجمة ذا فويس بتول بني. والعمل عبارة عن…
أكمل القراءة »









